LogoMCKgrau
item2c1
item2c1 Spektrumreg item2c1
item2c1 Arzt item2c1
item2c1 Home item2c1 item2c1 Spektrumreg item2c1 Spektrumreg item2c1 item2c1 Spektrumreg item2c1 Spektrumreg item2c1
item2c1 item2c1 item2c1 item2c1 item2c1 item2c1 item2c1 item2c1 item2c1 item2c1 item2c1 item2c1
item2c1
item2c1 item2c1 item2c1 item2c1 Spektrumreg item2c1 item2c1
item2c1
item2c1

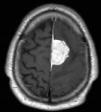
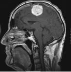
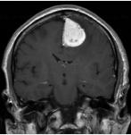
Tumoren

Behandlung von Kalottentumoren mit Kalottendefektdeckung
Kopf2

Traumen/Blutungen/Infarkte

Behandlung von chronischen Subduralhämatomen
Kopf3

Fehlbildungen

Mikrochirurgische Behandlung von Arachnoidalzysten

Hydrozephalus

Hydrozephalusbehandlung mit v.p.-Shunts

Hirngefäße/-nerven

Neurovaskuläre Dekompressionen (Trigeminusneuralgie, Hemispasmus Fazialis)
Spektrumbold Spektrumbold Spektrumbold Spektrumbold Spektrumbold Spektrumbold Spektrumbold Spektrumbold Spektrumbold Spektrumbold